Dental Implants in Red Deer AB
Services provided by General Dentists.
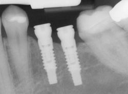
If you've lost a tooth, dental implants can rejuvenate both your smile and your oral health. An implant is a synthetic tooth root in the shape of a post that is surgically placed into the jawbone. The “root” is usually made of titanium — the same material used in many replacement hips and knees, and a metal that is well suited to pairing with human bone. A replacement tooth is fixed to the post. The tooth can be either permanently attached or removable. Permanent teeth are more stable and feel more like natural teeth.
The ideal candidate for implants is a non-smoker who has good oral health, including a sufficient amount of bone in the jaw and healthy gums with no sign of gum disease.
Single or multiple implants
Implants are versatile. If you are only missing one tooth, one implant plus one replacement tooth will do the trick. If you are missing several teeth in a row, a few strategically placed implants can support a permanent bridge (a set of replacement teeth). Similarly, if you have lost all your teeth, a full bridge or full denture can be permanently fixed in your mouth with a strategic number of implants.
Advantages over dentures or bridges
Conventional bridges and dentures are not fixed to the bone, and can therefore be unstable. This can make it difficult to eat or smile with confidence. Implants have firm support and are close to your natural teeth. And because they don't directly rely on neighboring teeth for support, implants don't compromise the health of your natural teeth. In fact, bridges may have a limited life expectancy and implants may last a longer period of time, but both must be maintained properly.

Post-treatment care
Treat your implanted replacement teeth as your own teeth. They require the same daily brushing and flossing, and the same amount of regular checkups. Just like your natural teeth, the better you take care of your replacements, the longer they will last.



